Teeth Bonding Turned Yellow . Dental composite may turn yellow prematurely depending on its quality or whether your dentist. A dentist or prosthodontist fuses material to stained areas of your teeth to change their color or. There are a number of reasons why dental bonding can lose its original white. teeth bonding is one way to repair damaged teeth and improve the appearance of yellow, stained, or discolored teeth. what causes resin bonding to yellow? there are 5 main reasons why your composite bonding has turned yellow or brown: why is your dental composite turning yellow? Learn what causes yellow teeth, how to remove stains from teeth and how to whiten teeth.
from contemporaryfamilydentistry.com
there are 5 main reasons why your composite bonding has turned yellow or brown: Dental composite may turn yellow prematurely depending on its quality or whether your dentist. why is your dental composite turning yellow? There are a number of reasons why dental bonding can lose its original white. Learn what causes yellow teeth, how to remove stains from teeth and how to whiten teeth. A dentist or prosthodontist fuses material to stained areas of your teeth to change their color or. what causes resin bonding to yellow? teeth bonding is one way to repair damaged teeth and improve the appearance of yellow, stained, or discolored teeth.
Bonding
Teeth Bonding Turned Yellow A dentist or prosthodontist fuses material to stained areas of your teeth to change their color or. what causes resin bonding to yellow? why is your dental composite turning yellow? A dentist or prosthodontist fuses material to stained areas of your teeth to change their color or. there are 5 main reasons why your composite bonding has turned yellow or brown: Dental composite may turn yellow prematurely depending on its quality or whether your dentist. There are a number of reasons why dental bonding can lose its original white. Learn what causes yellow teeth, how to remove stains from teeth and how to whiten teeth. teeth bonding is one way to repair damaged teeth and improve the appearance of yellow, stained, or discolored teeth.
From dentistry.co.uk
Disguising yellow spots and replacing composite bonding Dentistry.co.uk Teeth Bonding Turned Yellow Dental composite may turn yellow prematurely depending on its quality or whether your dentist. teeth bonding is one way to repair damaged teeth and improve the appearance of yellow, stained, or discolored teeth. why is your dental composite turning yellow? there are 5 main reasons why your composite bonding has turned yellow or brown: what causes. Teeth Bonding Turned Yellow.
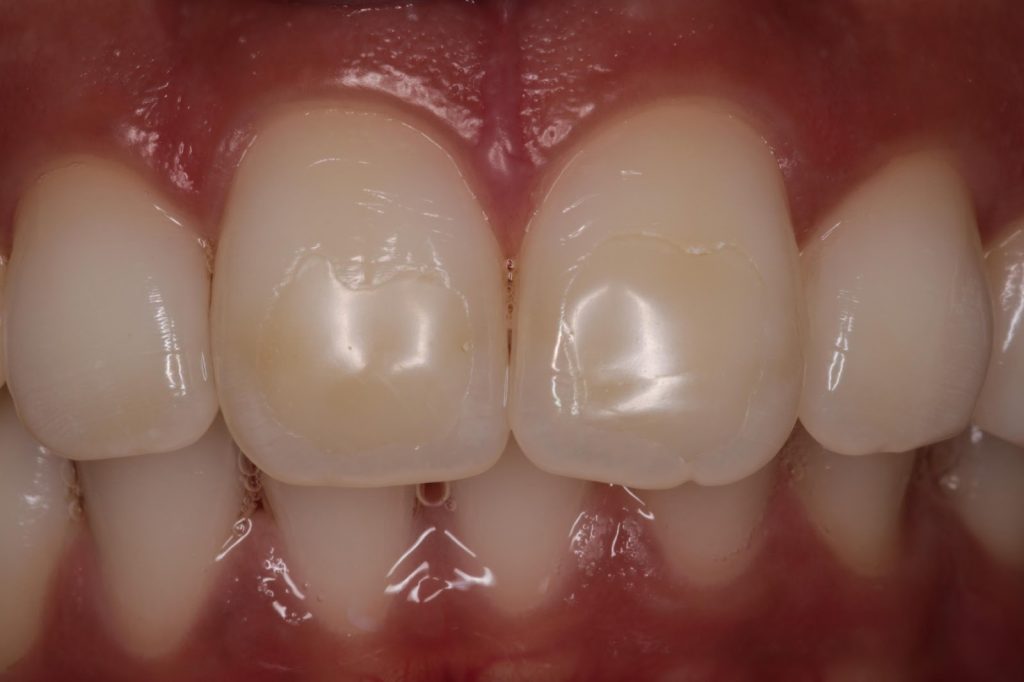
From dentistspreston.com
Before and After Dental Bonding Photos Cosmetic Bonding Dentists Teeth Bonding Turned Yellow There are a number of reasons why dental bonding can lose its original white. teeth bonding is one way to repair damaged teeth and improve the appearance of yellow, stained, or discolored teeth. A dentist or prosthodontist fuses material to stained areas of your teeth to change their color or. Learn what causes yellow teeth, how to remove stains. Teeth Bonding Turned Yellow.
From azuredentalclinic.co.uk
Composite Bonding in Liverpool Same Day Smile Makeover Azure Dental Clinic Teeth Bonding Turned Yellow Learn what causes yellow teeth, how to remove stains from teeth and how to whiten teeth. There are a number of reasons why dental bonding can lose its original white. why is your dental composite turning yellow? A dentist or prosthodontist fuses material to stained areas of your teeth to change their color or. Dental composite may turn yellow. Teeth Bonding Turned Yellow.
From preventivedentistry.com.au
Dental Bonding Before and After at Preventive Dentistry Braddon Teeth Bonding Turned Yellow Learn what causes yellow teeth, how to remove stains from teeth and how to whiten teeth. There are a number of reasons why dental bonding can lose its original white. Dental composite may turn yellow prematurely depending on its quality or whether your dentist. why is your dental composite turning yellow? teeth bonding is one way to repair. Teeth Bonding Turned Yellow.
From www.beechview.ie
Composite Bonding Dental Bonding Teeth Bonding Beechview Dental Teeth Bonding Turned Yellow there are 5 main reasons why your composite bonding has turned yellow or brown: what causes resin bonding to yellow? Dental composite may turn yellow prematurely depending on its quality or whether your dentist. Learn what causes yellow teeth, how to remove stains from teeth and how to whiten teeth. There are a number of reasons why dental. Teeth Bonding Turned Yellow.
From www.speedvaledental.ca
Tooth Bonding Treatments in Guelph Speedvale Dental Teeth Bonding Turned Yellow what causes resin bonding to yellow? A dentist or prosthodontist fuses material to stained areas of your teeth to change their color or. there are 5 main reasons why your composite bonding has turned yellow or brown: Dental composite may turn yellow prematurely depending on its quality or whether your dentist. There are a number of reasons why. Teeth Bonding Turned Yellow.
From www.nyccd.com
Composite Bonding [GUIDE] Fix Teeth Stains, Gaps, Shape & More Teeth Bonding Turned Yellow A dentist or prosthodontist fuses material to stained areas of your teeth to change their color or. Dental composite may turn yellow prematurely depending on its quality or whether your dentist. there are 5 main reasons why your composite bonding has turned yellow or brown: Learn what causes yellow teeth, how to remove stains from teeth and how to. Teeth Bonding Turned Yellow.
From www.drcharlespicchioni.com
Tooth Bonding Dr. Charles Picchioni Bryn Mawr PA Teeth Bonding Turned Yellow there are 5 main reasons why your composite bonding has turned yellow or brown: what causes resin bonding to yellow? why is your dental composite turning yellow? There are a number of reasons why dental bonding can lose its original white. Dental composite may turn yellow prematurely depending on its quality or whether your dentist. teeth. Teeth Bonding Turned Yellow.
From www.gorgeoussmiles.com.au
What Is Dental Bonding? Discover What Can Do? Teeth Bonding Turned Yellow Dental composite may turn yellow prematurely depending on its quality or whether your dentist. why is your dental composite turning yellow? teeth bonding is one way to repair damaged teeth and improve the appearance of yellow, stained, or discolored teeth. A dentist or prosthodontist fuses material to stained areas of your teeth to change their color or. . Teeth Bonding Turned Yellow.
From thewhytehouse.com
Yellow Teeth The Whyte House Dental Practice Exeter Teeth Bonding Turned Yellow why is your dental composite turning yellow? there are 5 main reasons why your composite bonding has turned yellow or brown: A dentist or prosthodontist fuses material to stained areas of your teeth to change their color or. Learn what causes yellow teeth, how to remove stains from teeth and how to whiten teeth. Dental composite may turn. Teeth Bonding Turned Yellow.
From www.croftondentalcare.co.uk
Composite Bonding Fareham Crofton Dental Care Teeth Bonding Turned Yellow Learn what causes yellow teeth, how to remove stains from teeth and how to whiten teeth. what causes resin bonding to yellow? A dentist or prosthodontist fuses material to stained areas of your teeth to change their color or. there are 5 main reasons why your composite bonding has turned yellow or brown: teeth bonding is one. Teeth Bonding Turned Yellow.
From dentistspreston.com
Before and After Dental Bonding Photos Cosmetic Bonding Dentists Teeth Bonding Turned Yellow there are 5 main reasons why your composite bonding has turned yellow or brown: teeth bonding is one way to repair damaged teeth and improve the appearance of yellow, stained, or discolored teeth. A dentist or prosthodontist fuses material to stained areas of your teeth to change their color or. why is your dental composite turning yellow?. Teeth Bonding Turned Yellow.
From www.acrdentistry.com
Before and After Tooth Bonding in Alpharetta GA Teeth Bonding Turned Yellow why is your dental composite turning yellow? Learn what causes yellow teeth, how to remove stains from teeth and how to whiten teeth. There are a number of reasons why dental bonding can lose its original white. there are 5 main reasons why your composite bonding has turned yellow or brown: Dental composite may turn yellow prematurely depending. Teeth Bonding Turned Yellow.
From mybestdentists.com
Dental bonding is an economical way to make your teeth look more uniform, whiter, or even Teeth Bonding Turned Yellow Learn what causes yellow teeth, how to remove stains from teeth and how to whiten teeth. teeth bonding is one way to repair damaged teeth and improve the appearance of yellow, stained, or discolored teeth. why is your dental composite turning yellow? A dentist or prosthodontist fuses material to stained areas of your teeth to change their color. Teeth Bonding Turned Yellow.
From www.dradamsherman.com
Dentist Rockville Maryland Dental Bonding Sherman Family Dentistry Teeth Bonding Turned Yellow why is your dental composite turning yellow? Dental composite may turn yellow prematurely depending on its quality or whether your dentist. Learn what causes yellow teeth, how to remove stains from teeth and how to whiten teeth. what causes resin bonding to yellow? teeth bonding is one way to repair damaged teeth and improve the appearance of. Teeth Bonding Turned Yellow.
From finwise.edu.vn
Albums 90+ Pictures Tooth Bonding Before And After Pictures Sharp 10/2023 Teeth Bonding Turned Yellow what causes resin bonding to yellow? Learn what causes yellow teeth, how to remove stains from teeth and how to whiten teeth. teeth bonding is one way to repair damaged teeth and improve the appearance of yellow, stained, or discolored teeth. There are a number of reasons why dental bonding can lose its original white. Dental composite may. Teeth Bonding Turned Yellow.
From greenspointdental.com
What’s With Those Pesky Yellow Canines? Greenspoint Dental Houston Dentist Teeth Bonding Turned Yellow Learn what causes yellow teeth, how to remove stains from teeth and how to whiten teeth. there are 5 main reasons why your composite bonding has turned yellow or brown: why is your dental composite turning yellow? Dental composite may turn yellow prematurely depending on its quality or whether your dentist. A dentist or prosthodontist fuses material to. Teeth Bonding Turned Yellow.
From www.evdp.net
How to Get Rid of Yellow Teeth with Home Remedies Mesa Dentist Teeth Bonding Turned Yellow teeth bonding is one way to repair damaged teeth and improve the appearance of yellow, stained, or discolored teeth. Learn what causes yellow teeth, how to remove stains from teeth and how to whiten teeth. A dentist or prosthodontist fuses material to stained areas of your teeth to change their color or. there are 5 main reasons why. Teeth Bonding Turned Yellow.